Lorsqu’elle a vu la forme que son ventre commençait à avoir, cette femme enceinte s’est posée des questions…et en effet…
Certaines grossesses peuvent vraiment cacher des surprises et les parents qui n’y sont pas préparés se retrouvent à la fois ravis mais totalement désemparés.

C’est le cas de Chloé Dunstan qui n’oubliera jamais sa dernière grossesse qui ne s’est pas tout à fait déroulée comme elle le pensait. Chloé et Rohan Dunstan sont un couple vivant en Australie et qui ont déjà trois petits garçons âgés d’un an, de deux ans et de trois ans. Ayant toujours voulu une fille, le couple a décidé de retenter l’expérience une toute dernière fois.
Chloé tombe bien enceinte mais son ventre commence à grossir d’une drôle de manière. Il pousse vite et cela inquiète la future maman et le futur papa qui n’ont jamais connu cela auparavant.

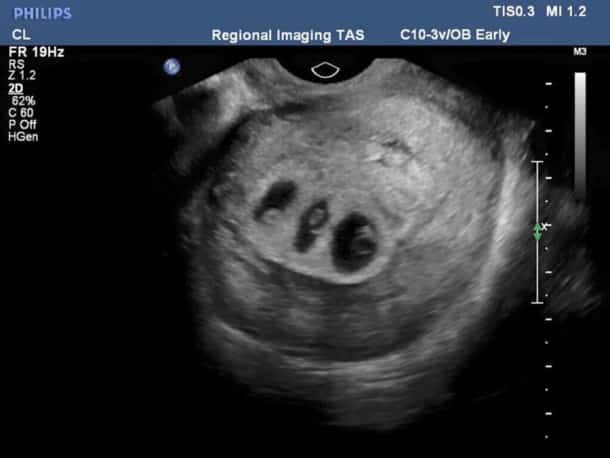
C’est lors d’une échographie que le couple découvre la cause de ce ventre si rond et si gros. En réalité la maman n’attend pas un mais trois bébés ! Or, l’un des bébés est bien une petite fille mais n’est pas assez oxygénée dans le ventre. Elle risque de mourir et tout va devoir être mis en œuvre pour la sauver.
À lire aussi

L’accouchement a alors été déclenché à seulement 28 semaines et les bébés bien que prématurés sont tous en bonne santé !
À lire aussi