Icône menu hamburger Icône loupe de recherche
  1. TDN >
  2. Insolite

Il mange des sashimis et contracte une horrible infection parasitaire

Publié par Leïla le 26 Sep 2014 à 12:55

Fan de sushi, sashimis et autre nourriture asiatique, sachez qu’après avoir vu ces photos, il se peut que vous n’ayez plus du tout envie d’en manger après avoir regardé ces photos…

La suite après cette publicité

Un chinois a eu une mauvaise expérience après avoir ingurgité quelques sashimis. L’homme en question, habitant dans la province de Guangdong, en Chine, s’est plaint de violentes douleurs à l’estomac et de démangeaisons. Inquiet, il se rend alors chez son médecin afin de découvrir ce qui lui arrive.

À lire aussi

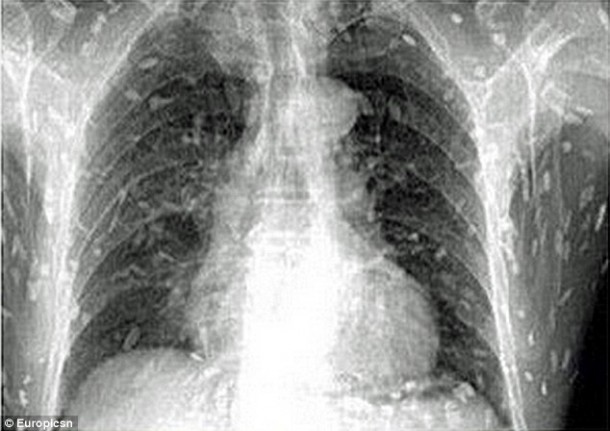
Sur place, le médecin lui fait passer des radiographies pour identifier la cause de son mal-être. Les radiographies révèlent que l’homme a des larves de ténia dans tout le corps. Le Dr Yin, a indiqué que l’homme « avait probablement mangé du poisson cru contaminé par des oeufs ». C’est à cela que l’homme doit son infection parasitaire. Si son cas n’avait pas été traité rapidement, l’homme aurait pu mourir. En effet, lorsque l’infection atteint le cerveau, cela peut se révéler mortel.

La vidéo du jour à ne pas manquer

Une bonne raison d’être particulièrement vigilant et de ne pas manger dans des restaurants où l’hygiène parait douteuse…

La suite après cette publicité
1411571955643_wps_9_A_Chinese_man_who_went_to 1411571939703_wps_6_A_Chinese_man_who_went_to 1411571946131_wps_7_A_Chinese_man_who_went_to 1411571949612_wps_8_A_Chinese_man_who_went_to

Source: Daily Mail

A DÉCOUVRIR :8 CHOSES À CONNAÎTRE QUAND ON MANGE DES SUSHIS 

Rejoignez nos 875 726 abonnés en recevant notre newsletter gratuite

N'oubliez pas de cliquer sur l'email de validation pour confirmer votre adresse email. Si vous ne l'avez pas recu vérifiez dans vos spams.

Laissez un commentaire

Votre adresse e-mail ne sera pas publiée. Les champs obligatoires sont indiqués avec *