Elle passe une IRM avec un plug dans l’anus, et le pire arrive !
Lorsqu’on passe une série d’examens médicaux, les médecins insistent sur le respect des règles et des recommandations. Notamment lorsque vous passez une IRM. S’il est important de ne pas conduire la vessie pleine, vous ne devez pas avoir d’objet métallique sur ou en vous lors d’une IRM. Pourtant, une femme s’est rendu à un examen avec un plug dans l’anus, comportant une partie en métal. Elle a hurlé de douleur…

Elle se rend à une IRM avec un plug dans l’anus
Certains problèmes de santé envisagent de passer une IRM, pour Imagerie par Résonance Magnétique. Et lorsque les médecins vous installent, ils vous demandent de retirer tout objet métallique. Cependant, certaines personnes oublient de retirer les objets métalliques à l’intérieur de leur corps… Comme un plug par exemple.
Depuis plusieurs années, ce jouet s’invite dans les sous-vêtements des utilisateurs pendant leurs courses, leur journée de travail ou une balade en amoureux. L’idée est de se procurer du plaisir et de découvrir de nouvelles façon d’avoir des orgasmes. Alors quand une patiente se rend à l’IRM avec un plug anal, cela ne devrait pas être choquant.
À lire aussi
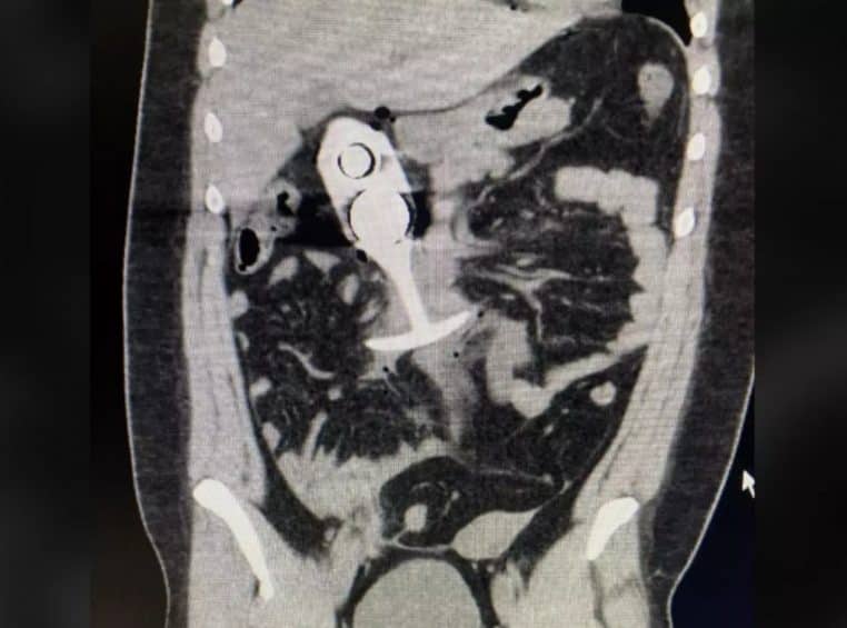
Néanmoins, elle a oublié de s’informer sur les composants de son jouet sexuel. En effet, le plug est majoritairement en silicone. Mais parfois, une bille en métal est placée à l’intérieur. Sans le savoir, la patiente s’est mise en danger. Et dès que les médecins commencent l’IRM, elle regrette rapidement de ne pas avoir retiré le plug anal.

La patiente hurle de douleur
Selon Unilad, les aimants IRM seraient 100 000 fois plus puissants que le champ magnétique terrestre. En ne retirant pas le plug, la patiente s’est donc mise en danger. Lorsque l’IRM débute, la bille en métal qui se trouve à l’intérieur est attirée par les aimants IRM, et s’enfonce dans le corps de la patiente, qui préférera désormais une autre méthode pour ses plaisirs intimes.

Elle ne met d’ailleurs pas longtemps à sentir la douleur et se met à hurler. Le jouet s’est alors enfoncé dans son anus. Sur les réseaux sociaux, une image du jouet a circulé en relatant l’histoire de la femme en indiquant : « Ne portez jamais de plug anal à votre rendez-vous IRM » . Cependant, il semblerait que l’histoire ne soit pas totalement vraie. Très peu de sources existent pour corroborer cette histoire. Mais cela reste quand même un bon conseil à donner aux patients qui voudraient s’y risquer.