Icône menu hamburger Icône loupe de recherche
  1. TDN >
  2. Insolite

Frère siamois, scoliose, bras en métal : Ces radiographies sous rayon X sont impressionnantes !

Publié par Sacha JOUANNE le 31 Mar 2021 à 15:30

Une des grandes avancées technologiques de ces 30 dernières années est la radiographie sous rayon X. Grace à cette technique, nous pouvons soigner beaucoup plus facilement des problèmes de santé ou encore détecter des objets dangereux aux aéroports ou dans des bâtiments importants. Mais ces pratiques ont parfois révélé de surprenantes découvertes. Alors dans cet article, vous allez découvrir les images les plus impressionnantes sous rayon X réalisées lors de radiographies.

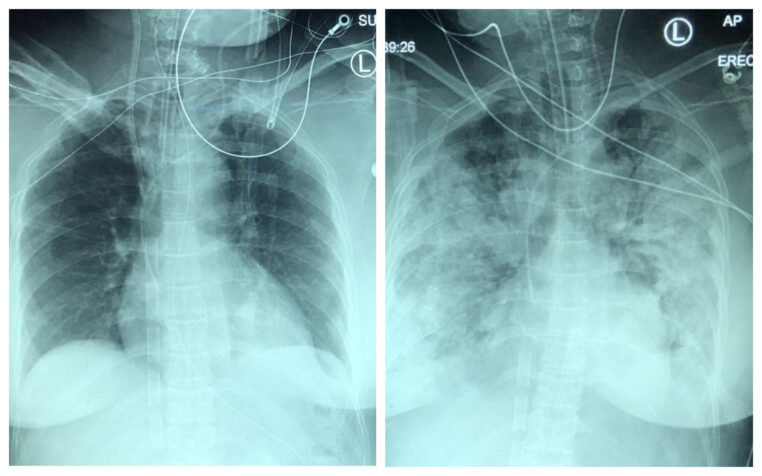
Évolution d’une pneumonie chez une personne touchée par la Covid-19 en 5 jours

galerie-rayon-x-covid

La radiographie des frères siamois !

galerie-rayon-x-frères-siamois

A lire aussi : Nez trop gros, poignets d’amour, mâchoire en avant : Ces personnes ont décidé de se débarrasser de leur plus gros complexe

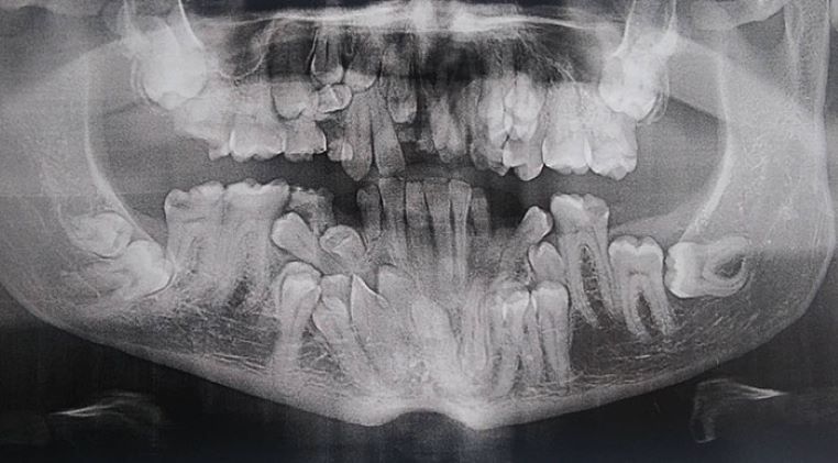
Une radiographie dentaire impressionnante !

galerie-rayon-x-dentiste

Une tortue enceinte

galerie-rayon-x-tortue-enceinte

Votre article continue en Page 2. Cliquez sur « Page Suivante » pour découvrir les images en Rayon X les plus impressionnantes ! 

Rejoignez nos 875 726 abonnés en recevant notre newsletter gratuite

N'oubliez pas de cliquer sur l'email de validation pour confirmer votre adresse email. Si vous ne l'avez pas recu vérifiez dans vos spams.

Laissez un commentaire

Votre adresse e-mail ne sera pas publiée. Les champs obligatoires sont indiqués avec *