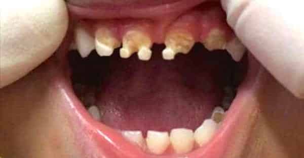
En voyant les dents de cet enfant de 3 ans, le dentiste a demandé à sa mère ce qu’elle lui donnait à boire… Et là, il a compris…
Les dents de cet enfant sont dans un état lamentable. Cela parait même impossible… Et pourtant, comme de nombreux enfants aux États-Unis et en Nouvelle-Zélande, il est victime du « Mountain Dew mouth ». Mountain Dew est une boisson sucrée, un soda, qui, comme tous les sodas est bourré de sucre et donc très nocif pour les dents.
Mais dans le cas de cet enfant, on ne parle pas d’une consommation de soda d’un ou deux verres par semaine… Non non… Cet enfant ne buvait rien d’autre que des boissons sucrées depuis qu’il était en âge de boire autre chose que du lait… Jamais d’eau ! Du soda dans le biberon, des jus de fruits avec sucres ajoutés… Un désastre sanitaire qui aura des répercussions également sur sa santé générale et pas seulement sur ses dents ! Les médecins et les dentistes ont déjà lancé l’alerte par l’intermédiaire d’un article paru dans Le New-York Times en 2012.
Ces boissons sont à consommer avec modération. Les médecins sont formels : de l’eau et du lait pour les enfants ! Rien d’autre sauf occasionnellement…
À lire aussi
On a du mal à croire ces photos mais en effet, pensez qu’il s’agit de dents de lait qui sont plus « fragiles » que les dents définitives. Le sucre les attaque de façon spectaculaire… Le Dr. Robert Beaglehole qui a pris ces photos dans son cabinet en Nouvelle-Zélande explique qu’il a retiré en un an environ 60 dents à des enfants à cause du sucre…
N’oubliez pas que le sucre est présent dans bien d’autres choses que les boissons : dans les bonbons, les gâteaux industriels etc.
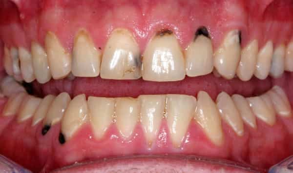
Bien entendu, nous vous présentons ici un cas extrême. Mais ne sous estimez pas les effets de ces boissons et du sucre sur les dents…


