Une simulation dévoile l’horreur derrière la chirurgie de l’allongement des jambes, cela « devrait être illégal »
La chirurgie prend de plus en plus de place dans notre société. Les gens sont tellement obnubilés par l’apparence extérieure qu’ils n’hésitent pas à dépenser une fortune pour rester jeune. Ces derniers temps, les médecins ont également trouvé le moyen de rallonger les membres. Mais une simulation sur Twitter dévoile des conséquences plutôt désagréables de cette pratique !
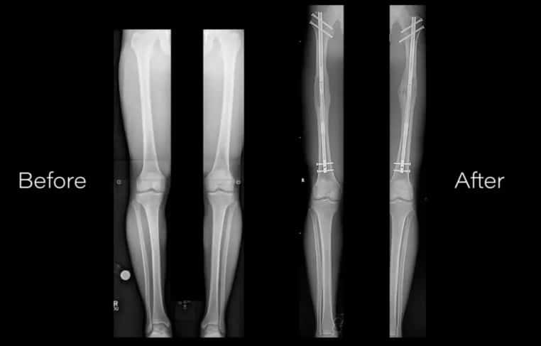
Comment les médecins réalisent-ils ce genre de chirurgie ?
La dernière trouvaille en matière de chirurgie concerne le rallongement des os. Une opération qui permet de gagner quelques centimètres de plus. Il existe toutes sortes de raisons qui poussent les gens à recourir à cette méthode. Cela peut découler d’une blessure, d’une malformation, ou ils veulent simplement être plus longs.
Quelle que soit la raison, les médecins peuvent désormais exaucer leur vœu. Bien sûr, il faudra mettre la main à la patte pour profiter de ce genre de chirurgie ! La Cleveland Clinic explique qu’il existe deux méthodes, selon les convenances du patient. La première consiste à utiliser un cadre métallique comme fixateur.

À l’intérieur de l’os, les médecins insèrent un support relié au cadre. La procédure implique de devoir marcher avec la tige en métal, que le patient doit visser chaque jour. Par ailleurs, le patient doit attendre un certain temps avant d’atteindre la longueur recherchée.
La deuxième opération est un peu plus compliquée. En effet, elle requiert une grande dextérité venant du médecin. La moindre erreur pourrait conduire à de graves conséquences ! Mais cette chirurgie a l’avantage d’être plus esthétique, puisqu’il n’y a aucun support ni aucune tige métallique qui dépasse.
À lire aussi
Des conséquences très désagréables !
Le premier risque lié à cette chirurgie est l’incompétence des médecins. Car oui, il existe actuellement de nombreux charlatans qui se disent professionnels en la matière. Pourtant, ils ne possèdent même pas les outils adéquats pour réaliser l’opération ! Et quand le patient revient pour demander des comptes, ils disparaissent tout simplement !
En outre, le patient doit passer par un long parcours d’apprentissage avant de pouvoir réutiliser ses jambes à nouveau. Cela inclut de nombreuses séances de physiothérapie. Par ailleurs, il doit faire de nombreux contrôles afin de vérifier la vitesse de régénération de ses cellules osseuses.

Que ce soit une guérison trop rapide ou trop lente, les conséquences de la chirurgie peuvent être très dangereuses. Voilà pourquoi les médecins exigent un suivi minutieux de leur patient. Néanmoins, les véritables spécialistes disposent de diverses méthodes pour faire face aux éventuelles complications.
Le dernier inconvénient de cette opération chirurgicale réside dans le temps d’adaptation des muscles. Ces derniers doivent s’étirer à mesure que les membres s’allongent. Forcément, cela va créer une certaine tension assez douloureuse ! Pire, le patient pourrait ne plus être en mesure de faire des exercices physiques.
Une chirurgie qui ne passe pas auprès des internautes !
Cette publication sur Twitter n’est pas passée inaperçue. Au contraire, de nombreuses personnes ont immédiatement évoqué leur avis sur cette nouvelle chirurgie. La plupart d’entre eux étant contre l’opération. Cette personne n’hésite pas à dire que « cela devrait être illégal ».
Un internaute a essayé d’ouvrir la discussion sur la compréhension. Mais visiblement, il n’a pas pu convaincre les autres ! Ces derniers répliquent en disant : « Tu veux te disputer avec quelqu’un ? Bonne chance, ce ne seront que de courtes blagues faites contre toi ».