Il s’injecte son sperme dans le bras pour soigner son mal de dos
De plus en plus de personnes pratiquent ce qu’on appelle l’automédication. Mal de tête ? Un Doliprane. Un mal de ventre ? Un Imodium. Un mal de dos ? Et pourquoi pas du sperme ? Parce que contre toute attente, cet homme s’injecte tous les mois sa propre semence pour soigner son mal de dos.
S’injecter du sperme pour soigner un mal de dos
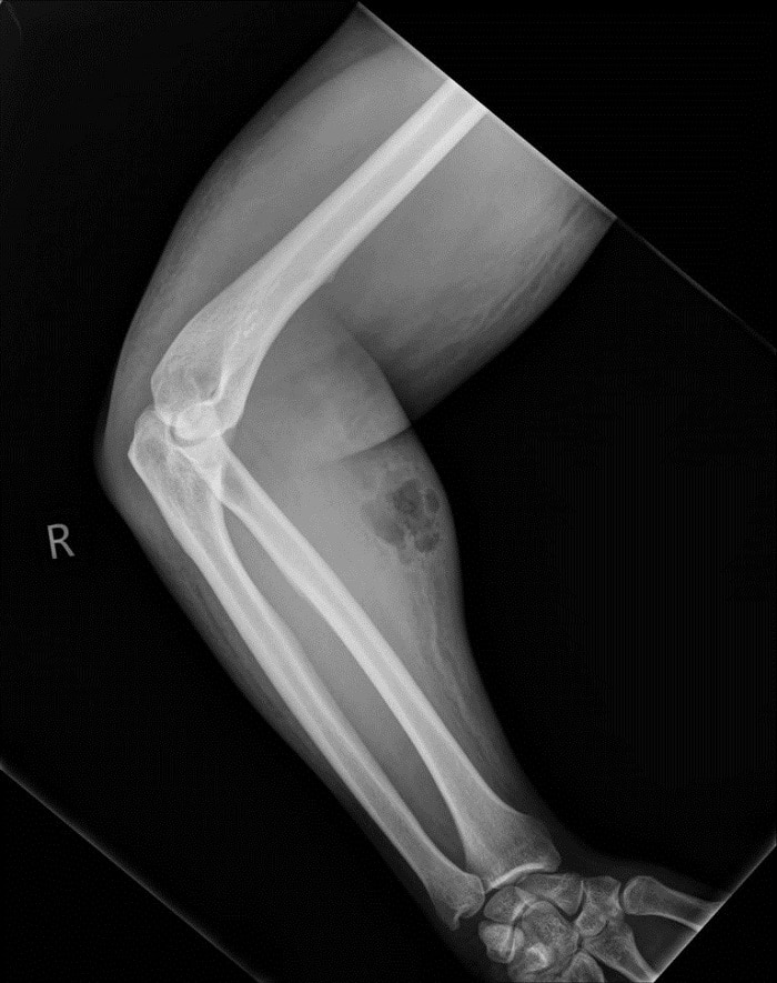
Alors que tout le personnel médical de l’Adélaïde and Meath Hospital est sur le pont, les médecins voient débarquer un homme de 33 ans qui se plaint d’un mal de dos chronique. Rapidement, les infirmiers lui font un bilan et s’aperçoivent que son avant-bras est particulièrement rouge et enflé. Ils se mettent alors à questionner le patient sur les raisons qui auraient pu conduire à une telle inflammation.
Et à la surprise générale, l’homme avoue s’être injecté 18 doses de son propre sperme. Il aurait fait ça avec une aiguille hypodermique achetée sur internet et environ une fois par mois. En effet, il est persuadé que ce genre de pratique peut éradiquer ses douleurs chroniques.
À lire aussi

Tellement surpris par ce cas atypique, il est même publié dans l’Irish Médical Journal
Injecter du sperme ? Une très mauvaise idée
Tellement surpris par ce cas atypique, il est même publié dans l’Irish Médical Journal. Quant aux effets, ils ne sont pas si mirobolants que cela. Après avoir passé son avant-bras aux rayons X, les médecins se sont rendu compte que de l’air était coincé sous la peau à cause du sperme. Ils lui ont donc prescrit une thérapie anti-microbienne par intraveineuse et rapidement, le patient était sur pied et sans mal de dos !
À lire aussi
Interrogé au sujet de son traitement personnel, il explique que pour lui, c’est un traitement novateur ! Certainement en lisant un certain nombre d’articles sur la toile dans celui-ci.
« Bien qu’il y ait un rapport des effets de l’injection sous-cutanée de semence chez des rats et des lapins, il n’y avait pas de cas d’injection de semence en intraveineuse chez l’homme dans la littérature. Une recherche sur des sites internet et des forums plus éclectique n’a trouvé aucune documentation pour l’injection de semence dans le traitement du mal de dos ou pour d’autres utilisations? Les tentatives d’intraveineuses et d’injections artérielles de substances nocives comme le mercure, le gasoil, l’essence, l’acide hydrochlorique et l’hydrocarbure sont bien décrites et généralement portées par une tentative de suicide, à l’opposé du cas détaillé au dessus, dans lequel le patient cherchait à se libérer d’une gêne physique. »