Des poils lui poussent entre les dents : un cas extrêmement rare de poils aux gencives a été rapporté
Un cas de maladie rare très peu connue a été documenté récemment dans un magazine de médicine. Dans cet article médical, on peut y lire qu’une femme de 25 ans vit avec des poils aux gencives. Des poils qui ressemblent à des cils, lui poussent entre les dents.
> À lire aussi : 17 bébés espagnols atteints du syndrome du loup-garou à cause d’un médicament pour la digestion contaminé
Un cas d’hirsutisme aux gencives a été décelé
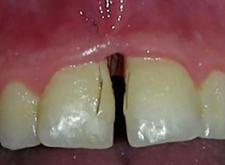
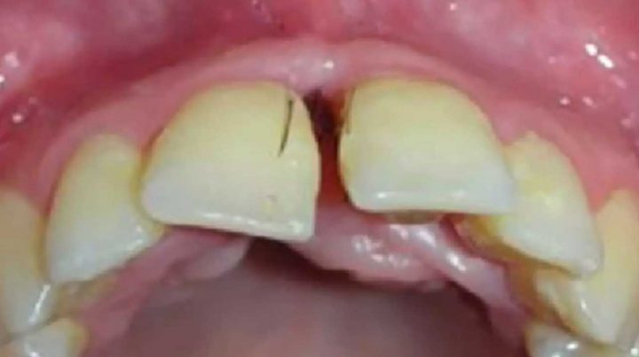
Le journal médical Oral Surgery, Oral Medicine, Oral Pathology and Oral Radiology rapporte un cas extrême d’hirsutisme assez particulier. Une jeune femme de 25 ans, atteinte du syndrome des ovaires polykystiques a remarqué la pousse de poils entre les dents. L’une des conséquences de ce syndrome, qui entraine un dérèglement hormonal est la pousse inhabituelle des poils. Mais un tel cas de poils aux dents est vraiment rare. « En examinant son visage on peut remarquer la présence d’une pilosité inhabituelle au menton et dans la zone du cou », peut-on lire dans l’article médical. « Un examen buccal révèle la présence de poils bruns, semblables à des cils ». Des photos de l’examen accompagnent l’article.
À lire aussi

Des poils, tels des cils, ont poussé dans ses gencives

La patiente avait également des poils dans le cou et au menton
> À lire aussi : Comme un homme, cette jeune femme a des poils sur le torse et le ventre, mais assume sa différence
Les médecins ont constaté qu’elle avait des poils aux dents
Les poils « ont été enlevés et les tissus ont été analysés. Un an plus tard, la patiente est revenue avec la présence encore plus importante de poils autour des gencives et dans les sillons gingivaux. » Ce genre de pathologie serait extrêmement rare. La cause de la présence de poils dans cette zone du corps est encore inconnue. « Une étude de cas précédents révèle cinq autres cas, mais la plupart indiquaient seulement la présence d’un seul poil à différents endroits de la cavité buccale ».
> À lire aussi : Les stars ne s’épilent plus et affichent fièrement leurs poils (Vidéo)
Crédits : Oral Surgery, Oral Medicine, Oral Pathology and Oral Radiology