Elle découvre qu’elle vit depuis des années avec une aiguille dans le cerveau
Alors qu’elle effectuait un simple examen médical, une octogénaire a découvert qu’elle vivait depuis plusieurs années avec une aiguille dans le cerveau… Découvrez !
>>>À lire aussi : Ces images choquantes d’un jeune homme avec une partie du crâne en moins : il accuse des policiers de l’avoir laissé pour mort
Une découverte improbable
Ce mercredi 4 octobre, le ministère de la Santé russe a raconté une histoire improbable. En effet, une octogénaire est partie faire des examens médicaux, mais ne s’attendait pas à un tel résultat. La découverte était totalement inattendue : un corps étranger s’était logé dans son cerveau. Tout au long de sa vie, la femme n’avait jamais ressenti de maux de tête, et rien ne laissait présager à une telle chose.
À lire aussi
>>>À lire aussi : Affaire Hedi : des vidéos de son agression par des policiers dévoilées
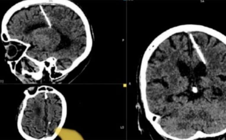
Elle vivait avec cette aiguille depuis toujours
Effectivement, au cours de ses examens médicaux, l’octogénaire a découvert qu’elle vivait depuis plusieurs années avec une aiguille de trois centimètres dans le cerveau. Selon le ministère de la Santé de Sakhline, la raison de la présence de cette aiguille est simple : au cours de son enfance, elle a été victime d’une tentative d’infanticide. Toujours selon ces informations, pendant la Seconde Guerre mondiale, certains parents étaient contraints de tuer leurs nouveaux-nés pour ne pas les voir mourir de faim. Pour cela, ils inséraient une aiguille dans la fontanelle des bébés.
Après les examens, les spécialistes ont affirmé que cette aiguille ne mettait pas la vie de l’octogénaire en danger. Ils ont ainsi décidé de la laisser.
Alors, que pensez-vous de cette histoire ? Connaissiez-vous cette pratique réalisée lors de la Seconde Guerre mondiale ? En parallèle, découvrez les confidences de cette célébrité au sujet de sa santé mentale…

>>>À lire aussi : Affaire Hedi : le policier placé en détention provisoire passe aux aveux