Icône menu hamburger Icône loupe de recherche
  1. TDN >
  2. Galleries

Cheveux roux, oreilles pointues : Ces caractéristiques du corps humain très rares

Publié par Gabrielle Nourry le 03 Juin 2021 à 15:30

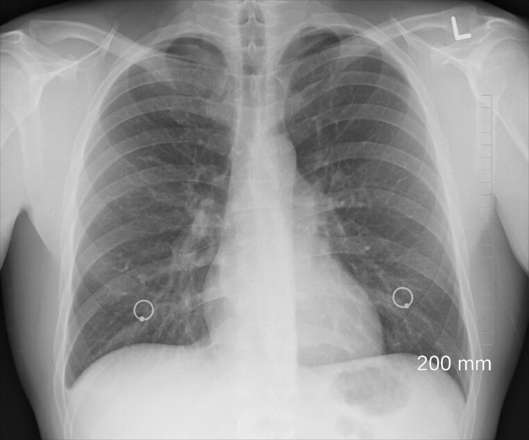
Le coeur à droite

 

Cela peut paraître étonnant, mais certaines personnes ont leur coeur du côté droit. Cela concerne moins de 1% de la population. Cette particularité porte un nom : le sinus inversus, une maladie qui touche une personne sur 10 000.

Dans le cas de cette maladie, les principaux organes se retrouvent du mauvais côté : le coeur à droite, le foie à gauche… Cependant, cela n’a pas de conséquences sur la santé si l’inversion des organes est complète.

 

 

Votre article continue en Page 4. Cliquez sur « Page Suivante » pour découvrir les caractéristiques physiques étranges du corps humain !

Rejoignez nos 875 726 abonnés en recevant notre newsletter gratuite

N'oubliez pas de cliquer sur l'email de validation pour confirmer votre adresse email. Si vous ne l'avez pas recu vérifiez dans vos spams.

Laissez un commentaire

Votre adresse e-mail ne sera pas publiée. Les champs obligatoires sont indiqués avec *