Voici 10 parasites qui peuvent s’introduire dans votre corps

6 Onchocerca volvulus – Celui-ci ne vit que 15 ans à l’intérieur du corps humain mais peu mesurer jusqu’à 50cm. Il provoque la « cécité des rivières » qui rend aveugle.

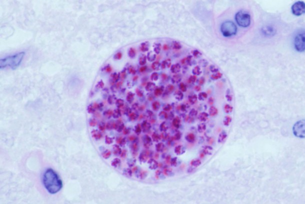
7 Toxoplasma gondii – Ce parasite transmis par les déjections de félins, se loge dans le cerveau. Il provoque des troubles mentaux comme la dépression ou la prise de risques. C’est aussi un vecteur de la malaria.

8 Wuchereria bancrofti

Ce parasite provoque l’elephantis, les personnes voient des parties de leur corps enfler démesurément

9 Trypanosoma brucei Ce parasite provoque des troubles du sommeil, une perte de l’équilibre et de la lucidité. Si les symptômes sont diagnostiqués trop tard, le patient fini par mourir.

10. Trichuris trichiura Ce ver vit dans le gros intestin et cause des diarrhées et de l’anémie. Il peut faire ressortir le rectum de l’anus dans les cas les plus extrêmes.
À lire aussi
Source : daily geek show