Vous voulez vivre plus longtemps ? Alors ne faites pas les choses indiquées ici !
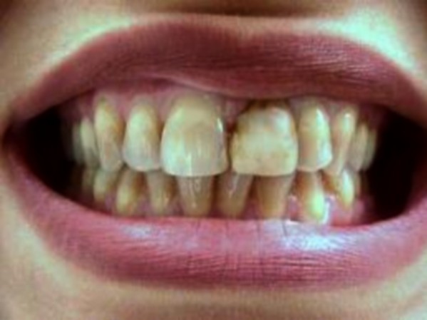
Ne pas se brosser les dents régulièrement

Ne pas se brosser les dents tous les jours
Bah oui, les dents c’est important et on le sait ! On pense que, si on ne se brosse pas souvent les dents, on ne risquera « que » des maladies bucco-dentaires, mais en réalité cela provoquerait également des maladies cardio-vasculaires, ce qui nous ferait perdre jusqu’à 6 ans de notre vie ! Le professeur de cardiologie Neal Weintraub explique que « Le faible niveau d’une inflammation des maladies des gencives peut être suffisant pour déranger les vaisseaux sanguins et aider à déclencher des maladies vasculaires ».
À lire aussi

Dormir trop longtemps
Oui se reposer c’est important, mais trop dormir ne serait pas bon pour votre santé ! En effet, si vous dormez trop (8 heures par jour par exemple) vous risquez de souffrir de maladies cardiaques, de dépression et de diabètes. Une étude impliquant 1,1 million de patients, menée par l’Université de Californie, a montré que les personnes qui ont dormi 8 heures par jour ou plus sont décédées avant les personnes qui ont dormi 6 ou 7 heures par jour.

Pop-corn au micro-ondes
A tous les gourmand(e)s, vous voulez vivre plus longtemps ? Et bien arrêtez le pop-corn au micro-ondes, ou du moins diminuez !
Ils pourraient, en effet, entraîner des maladies pulmonaires qui diminuent votre durée de vie car les pop-corn au micro-ondes contiennent un produit chimique nommé « diacétyle« , il peut entraîner une infection pulmonaire très grave si vous en consommez en grande quantité.