Icône menu hamburger Icône loupe de recherche
  1. TDN >
  2. Faits divers

Câble USB dans l’urètre, femme coincée dans une machine de muscu : découvrez les 10 faits divers insolites de la semaine

Publié par Gabrielle Nourry le 09 Sep 2022 à 15:20

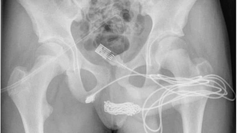
Un adolescent de 15 ans voulait mesurer son pénis avec un câble USB

Au Royaume-Uni, un adolescent de 15 ans s’est introduit un câble USB dans l’urètre pour mesurer la taille de son pénis. Le jeune garçon n’est pas parvenu à le retirer lui-même et a donc dû être pris en charge à l’hôpital. Le fil s’était emmêlé à l’intérieur de son sexe.

L’adolescent a dû être opéré pour extraire le câble USB. Selon les médecins, le cas d’insertion de corps étrangers dans l’urètre est « une rareté clinique ». Le garçon va mieux et ne présente pas de séquelles.

Votre article continue en page 7. Cliquez sur « Page suivante » pour découvrir d’autres faits divers insolites !