AVC silencieux : les signes discrets à ne jamais ignorer
On parle souvent des symptômes spectaculaires de l’AVC. Visage qui se fige, bras qui tombe, mots qui s’emmêlent. Pourtant, il existe une autre réalité plus insidieuse : l’AVC silencieux. Ici, pas de scène dramatique. Les signes passent parfois sous les radars, laissant des lésions cérébrales découvertes plus tard à l’IRM, et un risque accru d’AVC majeur par la suite.

Les médecins rappellent d’ailleurs que même des symptômes brefs ou fluctuants doivent être pris au sérieux, car ils peuvent annoncer un épisode vasculaire en cours.
Pourquoi certains AVC « ne se voient pas »
Un AVC silencieux survient lorsqu’un petit vaisseau se bouche ou lorsqu’une microhémorragie affecte une zone limitée du cerveau. La personne ne s’écroule pas, elle ne perd pas forcément connaissance. Ce qui se joue est plus subtil : de minuscules infarctus lacunaires ou des atteintes corticales discrètes qui marquent le tissu cérébral et peuvent, à force de se répéter, altérer la mémoire, l’attention ou l’équilibre. Beaucoup de diagnostics sont faits « par hasard », à l’occasion d’une imagerie demandée pour autre chose.
Les facteurs qui favorisent ces épisodes invisibles
La mécanique n’a rien de mystérieux : hypertension artérielle, diabète, tabac, hypercholestérolémie, sédentarité et consommation d’alcool augmentent le risque d’atteintes vasculaires cérébrales, y compris silencieuses. Certains épisodes brefs, comme l’AIT (accident ischémique transitoire), miment l’AVC avant de disparaître. Ils restent une urgence absolue, car le risque d’AVC dans la semaine qui suit est élevé.

Ces petites alertes qu’on confond trop souvent
Parce que les signes ne « claquent » pas, on les met sur le compte de la fatigue, du stress ou d’une mauvaise nuit. Or il faut se méfier d’une trilogie fréquente et trompeuse : troubles passagers de la parole, engourdissement fugace d’un côté du visage ou d’un membre, trouble visuel soudain sur un œil. Leur point commun est la brutalité d’apparition, même s’ils s’amendent en minutes. Une démarche instable, un vertige inhabituel, un mal de tête très intense et différent de l’ordinaire, ou un brouillard cognitif inhabituel doivent aussi alerter. Dans le doute, on appelle le 15 ou le 112.
AIT, migraine ophtalmique, “coup de fatigue” : apprendre à faire la différence
Une migraine ophtalmique peut provoquer des zigzags lumineux et une vision en « tunnel » qui effraient, mais la crise s’accompagne souvent d’un contexte migraineux connu et s’estompe progressivement. Un AIT, au contraire, reproduit les signes de l’AVC d’un coup, puis disparaît rapidement. La frontière n’est pas toujours évidente pour le grand public. Raison de plus pour ne pas jouer au médecin et pour composer le 15/112 dès qu’un signe neuro survient brutalement.

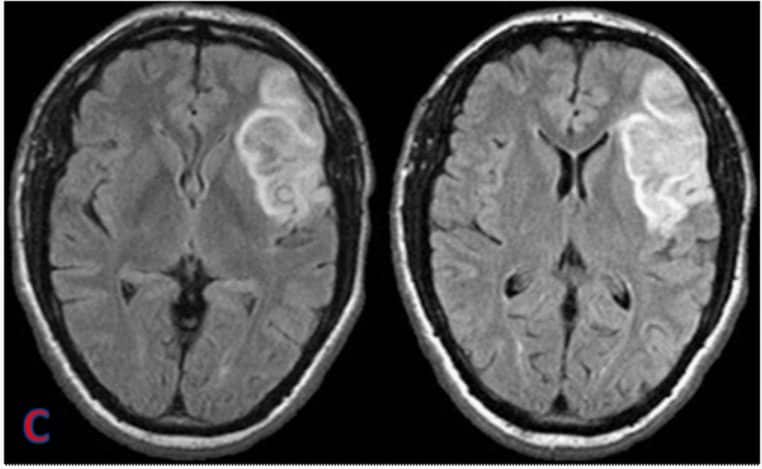
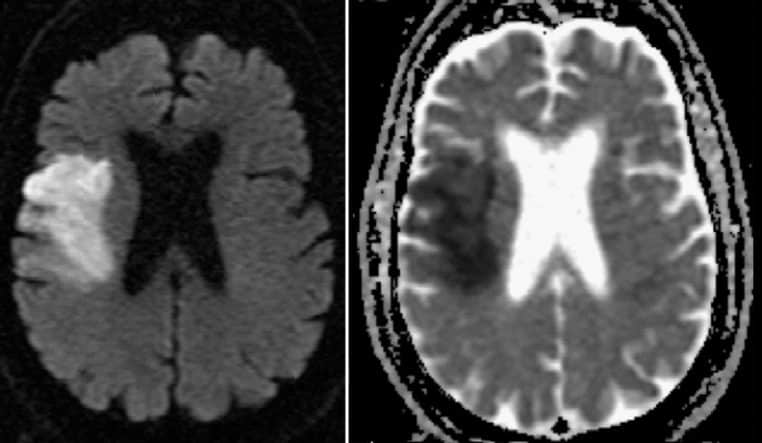
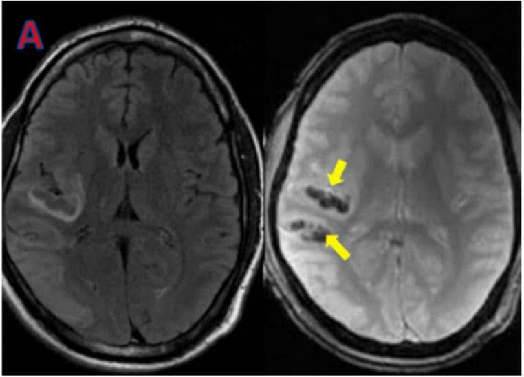
Ce que l’IRM révèle, parfois bien après
Les AVC silencieux laissent des traces typiques visibles en IRM (séquences FLAIR, DWI/ADC ou T2*) : zones d’hyperintensité ou de nécrose témoignant d’un infarctus ancien, parfois multiple. Plus ces traces s’accumulent, plus le risque de troubles cognitifs et de démence vasculaire augmente à long terme. Cela explique pourquoi la prévention vasculaire a un impact direct sur la santé du cerveau.
Prévenir l’invisible : de petits changements qui pèsent lourd
Bonne nouvelle, la prévention est concrète. Surveiller sa tension, réduire l’alcool, corriger l’excès de cholestérol, bouger régulièrement, améliorer son sommeil, consulter face à des céphalées inhabituelles ou des troubles visuels soudains… Ces gestes ont un impact mesurable sur le risque d’AVC au sens large, y compris les formes silencieuses. Et quand un traitement est prescrit, l’observance fait la différence.
À lire aussi

Comment réagir si un signe apparaît chez toi ou chez un proche
La règle d’or tient en un mot : vitesse. Un traitement efficace gagne des neurones quand il est donné tôt. Devant un visage asymétrique, un bras qui ne monte pas ou des mots qui ne sortent plus, on retient la méthode FAST adaptée en français et on appelle immédiatement le 15/112. Même si tout rentre dans l’ordre en quelques minutes, cela peut correspondre à un AIT, qui expose à un fort risque d’AVC ultérieur. Dans tous les cas, pas de voiture, pas d’auto-médication : on attend les secours.
Qui est le plus exposé sans le savoir ?
On croit souvent que l’AVC concerne surtout des personnes très âgées. En réalité, le risque grimpe surtout quand plusieurs facteurs se cumulent, même avant 60 ans. L’hypertension mal contrôlée, le diabète, le tabac ou un cholestérol élevé abîment la paroi des vaisseaux et favorisent ces petites atteintes cérébrales qui passent inaperçues.
Le terrain joue aussi. Une apnée du sommeil non diagnostiquée, une fibrillation auriculaire méconnue ou une migraine avec aura peuvent faire dériver l’attention sur de fausses pistes. Résultat, on normalise des alertes brèves, on remet à plus tard un bilan pourtant simple. Or chaque épisode silencieux ajoute une lésion sur la carte du cerveau et pèse sur la suite.
La clé est d’identifier les profils « à risque discret » : personne sédentaire avec tension instable, quarantenaire sous pression au travail, fumeur « social » du week-end. Chez eux, l’apparition brutale d’un trouble de la parole, d’un engourdissement d’un côté ou d’une vision perturbée d’un œil n’est jamais « anodin ». Dans le doute, on compose le 15/112 et on se laisse guider.

Après l’alerte : quel parcours de soins demander ?
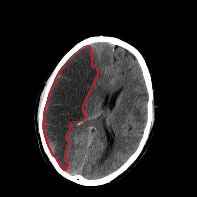
Quand un signe bref évoque un AIT ou un AVC silencieux, la suite doit être structurée. En urgence, l’objectif est d’écarter un AVC en cours et d’identifier la cause probable. Cela passe par un examen clinique, un ECG, une prise de sang et, si besoin, une imagerie rapide. Selon le contexte, une IRM ou un scanner cérébral permet de repérer des lésions passées inaperçues.
Dans les jours suivants, place au bilan des facteurs de risque. On mesure et on ajuste la tension, on évalue le cholestérol, on dépiste une arythmie, on questionne le sommeil et l’hygiène de vie. L’équipe médicale fixe un plan clair : traitement antiplaquettaire si indiqué, contrôle strict de la pression artérielle, objectifs d’activité physique progressive, repères simples pour réagir si un symptôme réapparaît.
Enfin, on cadre la prévention au long cours. Un suivi régulier, une observance impeccable des traitements et quelques routines faciles à tenir font la différence. Dix minutes de marche plusieurs fois par jour, un dîner plus léger, moins d’alcool, un sommeil mieux protégé : ce sont des gestes modestes, mais leur effet cumulé réduit concrètement le risque de nouvel épisode.

Le piège le plus cruel de l’AVC silencieux
Voilà le cœur du problème, celui qu’on a tendance à sous-estimer jusqu’à la dernière minute : l’AVC silencieux ne prévient pas. Il peut laisser des séquelles invisibles au début, mais cumulatives, favorisant à la longue déclin cognitif et démence vasculaire, tout en doublant le risque d’un AVC majeur plus tard. Apprendre à reconnaître des signes brefs et brutaux, agir tout de suite et s’attaquer aux facteurs de risque, c’est précisément ce qui fait la différence entre une frayeur et une tragédie.
- 22/10/2025 à 09:57Informations très pertinentes et a point nommé. Plus de commentaires pour une sensibsenbilisation plus accrue . Merci et à bientôt
1 commentaire