Cette étude alerte : l’air que vous respirez chaque jour pourrait abîmer votre cerveau sans que vous le sachiez
On sait depuis longtemps que la pollution de l’air abîme les voies respiratoires et augmente le risque cardiovasculaire. Ce que l’on mesure mieux aujourd’hui, c’est son impact possible sur le cerveau, la mémoire et le vieillissement neurologique. Plusieurs études récentes suggèrent que l’exposition répétée aux particules fines PM2.5 ne se contente pas d’accompagner le déclin cognitif. Elle pourrait aussi participer à son aggravation progressive.

Le sujet mérite de la prudence. Tous les chercheurs ne parlent pas au même niveau de certitude. Et toutes les formes de démence ne semblent pas concernées de la même manière. Mais une chose change dans la littérature scientifique. Le lien entre pollution de l’air et atteinte cérébrale ne repose plus seulement sur des observations générales à grande échelle. Il commence à apparaître dans des tissus cérébraux eux-mêmes, dans des analyses post-mortem et dans des travaux expérimentaux.

Des particules si petites qu’elles dépassent les poumons
Les PM2.5 sont des particules dont le diamètre est inférieur à 2,5 micromètres. Leur taille leur permet d’être inhalées profondément. La littérature scientifique rappelle qu’elles peuvent emprunter deux voies majeures. Passer dans la circulation après franchissement de la barrière pulmonaire. Ou atteindre le cerveau par la voie olfactive. Une fois présentes dans l’organisme, elles sont associées à du stress oxydatif, à de l’inflammation, à des atteintes neurovasculaire. Et à une altération de la barrière hémato-encéphalique.
Cette mécanique intéresse de plus en plus les spécialistes du vieillissement cérébral. Dans sa méta-analyse publiée en 2025, Nature Aging a synthétisé 28 études de cohorte et 49 estimations d’effet. Les auteurs concluent à une relation significative entre exposition de long terme aux PM2.5 et démence. Avec un risque au moins 14 % plus élevé en moyenne sur l’intervalle d’exposition étudié, par rapport à une référence de 2,0 µg/m³. Ils observent aussi un signal plus net pour la maladie d’Alzheimer que pour la démence vasculaire.
Ce point est important, car il évite les raccourcis. Les auteurs de cette méta-analyse insistent eux-mêmes sur le fait que la force globale de la preuve reste modérée, voire faible pour l’ensemble des démences dans leur cadre d’évaluation. En revanche, l’association ressort plus fortement pour Alzheimer, avec un niveau de confiance supérieur à celui observé pour toutes les démences confondues.

La prévention change de dimension
Le débat ne concerne plus seulement l’environnement ou les maladies respiratoires. Dans son rapport 2024, la Commission Lancet sur la prévention de la démence a ajouté la pollution de l’air aux facteurs de risque modifiables, avec l’idée qu’une part importante des cas pourrait être retardée ou évitée par des politiques de prévention mieux ciblées. Le message est simple : agir sur l’exposition collective peut devenir un levier neurologique, pas uniquement climatique.
Cela déplace aussi la question hors du cabinet médical. Les traitements récents d’Alzheimer restent complexes, coûteux et d’efficacité limitée à ce stade. Réduire les concentrations de particules dans l’air, limiter certaines sources de combustion, mieux encadrer le trafic routier ou le chauffage polluant relèvent d’une logique de santé publique beaucoup plus large. Ce n’est pas un détail : plus de 90 % de la population mondiale vit dans des zones où les niveaux de PM2.5 dépassent les recommandations de l’OMS, rappelle la méta-analyse de Nature Aging.

Ce que montrent aussi les travaux sur d’autres formes de démence
La maladie d’Alzheimer n’est pas le seul angle étudié. Un travail publié dans Science en 2025 s’est penché sur la démence à corps de Lewy. Les auteurs rapportent qu’au sein d’une cohorte de 56,5 millions de bénéficiaires Medicare, une exposition plus élevée aux PM2.5 est associée à davantage d’hospitalisations pour cette forme de démence. Les expériences menées en parallèle chez la souris suggèrent un mécanisme biologique plausible, avec des atteintes cognitives et une pathologie liée à l’alpha-synucléine.
Là encore, il faut garder la tête froide. Une hospitalisation n’est pas un diagnostic incident au sens strict, et les modèles animaux ne résument jamais toute la complexité humaine. Mais l’intérêt de ces travaux est ailleurs : ils renforcent l’idée que la pollution de l’air peut agir sur des voies neurodégénératives différentes, et pas seulement sur un déclin cognitif diffus ou mal défini.

À lire aussi
Pourquoi les chercheurs restent prudents malgré l’accumulation des signaux
Il existe encore plusieurs limites. Les niveaux de pollution ne sont pas identiques selon les pays, les saisons ou la composition chimique des particules. Les populations étudiées diffèrent aussi par l’âge, les habitudes de vie, les antécédents cardiovasculaires ou le niveau socio-économique. Même les grandes méta-analyses notent une hétérogénéité importante entre études, ce qui empêche de transformer ces résultats en certitude absolue sur chaque individu.
L’étude de Pennsylvanie, souvent citée ces derniers mois, a elle aussi ses limites. Il s’agit d’un échantillon de donneurs de cerveau, pas d’une photographie parfaite de la population générale. Les auteurs signalent eux-mêmes une cohorte majoritairement blanche, très éduquée, et des données cliniques complètes disponibles seulement pour une partie des cas. Pourtant, malgré ces précautions, le signal statistique observé reste suffisamment solide pour attirer l’attention.
Le cœur du sujet est là : pendant des années, le lien entre pollution de l’air et démence a été considéré comme plausible, mais encore indirect. On observait davantage de troubles cognitifs dans les zones polluées, sans toujours savoir si la pollution participait vraiment aux lésions cérébrales ou si elle accompagnait simplement d’autres facteurs de risque. C’est précisément ce point que les nouvelles données commencent à déplacer.

Ce que l’on peut faire, concrètement, sans attendre une preuve parfaite
À l’échelle individuelle, réduire l’exposition lors des pics de pollution, privilégier des déplacements moins exposés au trafic dense, aérer au bon moment de la journée et surveiller les alertes locales n’a rien d’anecdotique. Ces gestes ne règlent pas le problème de fond, mais ils peuvent limiter une partie de l’exposition cumulée. Le vrai changement reste toutefois collectif, car l’essentiel des gains dépend des transports, du chauffage, de l’urbanisme et des normes d’émission.
C’est aussi ce qui rend le sujet politiquement sensible. Réduire la pollution de l’air n’est pas seulement une affaire d’écologie abstraite. Les données disponibles suggèrent qu’il peut s’agir d’un investissement dans le vieillissement cérébral, la préservation de l’autonomie et, potentiellement, dans la baisse future de certaines formes de signes. L’enjeu est d’autant plus fort que ces expositions sont massives, quotidiennes et souvent subies.
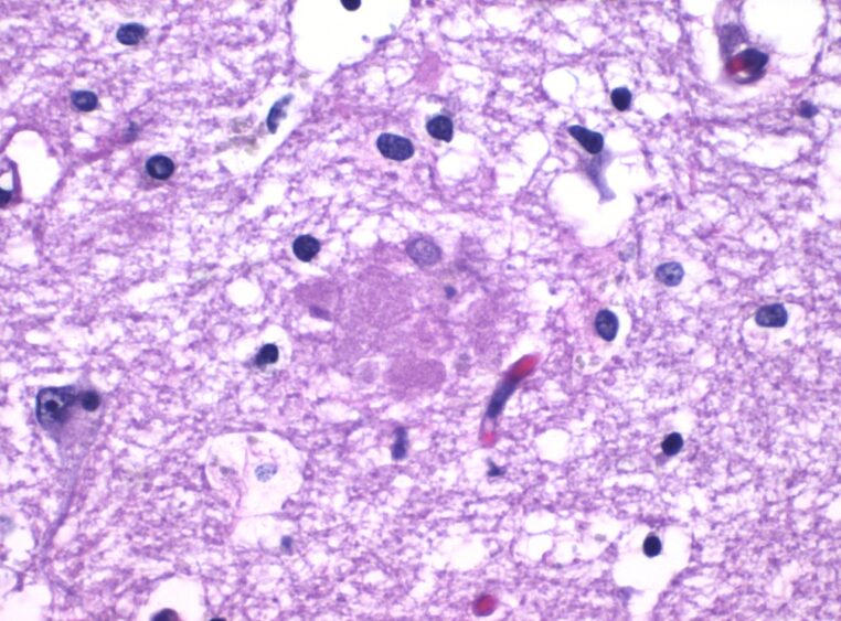
La révélation la plus forte n’est pas seulement le risque, mais la trace laissée dans le cerveau
C’est ici que l’étude d’autopsie change vraiment la lecture du dossier. Des chercheurs de l’Université de Pennsylvanie ont analysé 602 cerveaux issus d’un programme de dons post-mortem, en estimant l’exposition moyenne aux PM2.5 dans l’année précédant le décès. Leur résultat central n’est pas seulement une hausse générale du risque : à chaque augmentation de 1 µg/m³ de PM2.5, ils observent une hausse d’environ 19 % du niveau global de lésions neuropathologiques d’Alzheimer, ainsi que des augmentations de 17 % à 20 % pour plusieurs marqueurs précis, dont les phases amyloïdes, les stades de Braak et le score CERAD.
Dans le sous-groupe disposant d’évaluations cliniques, une exposition plus élevée était aussi associée à une aggravation des troubles cognitifs et fonctionnels. Surtout, les auteurs estiment que 63 % du lien observé entre pollution et sévérité clinique était statistiquement médié par ces lésions de type Alzheimer. Autrement dit, l’air pollué ne semblerait pas seulement accompagner le déclin : il pourrait contribuer à l’architecture même des dégâts retrouvés dans le cerveau. C’est cette bascule qui frappe les chercheurs aujourd’hui, et c’est elle qui transforme un soupçon ancien en alerte beaucoup plus concrète.
Retrouvez plus d’article sur le même thème ici.