AVC de l’œil : les signes à repérer tout de suite
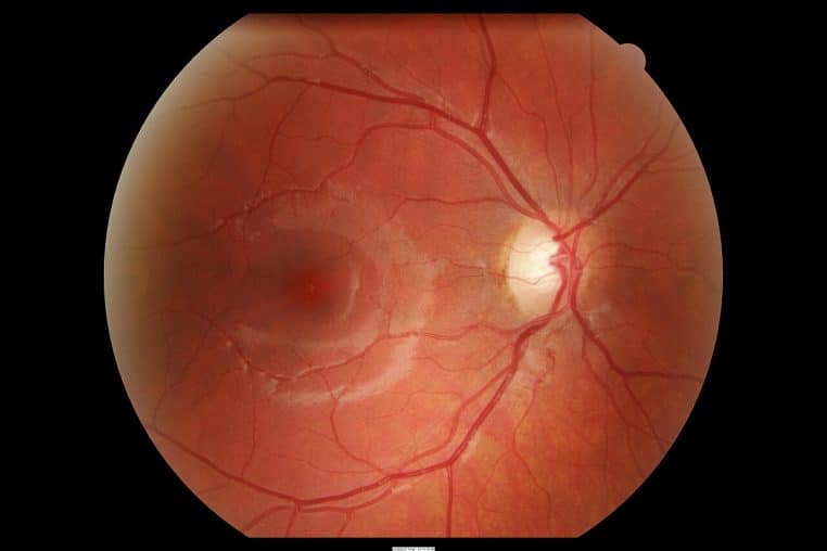
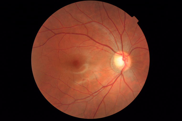
Derrière l’expression AVC de l’œil se cache le plus souvent l’occlusion de l’artère centrale de la rétine (OACR). Concrètement, un caillot vient se loger dans un vaisseau alimentant la rétine, empêchant l’oxygène et les nutriments d’y parvenir. Privées de ce carburant vital, les cellules rétiniennes cessent rapidement de fonctionner.

Dans certains cas, l’infarctus oculaire peut aussi résulter d’une déchirure vasculaire, à l’origine d’un œdème ou d’une hémorragie localisée. Quelle que soit la mécanique, le résultat est le même : le système visuel se dérègle brutalement et le risque de séquelles est majeur si la prise en charge tarde.
Cette pathologie touche davantage les plus de 50 ans, avec une prévalence accrue après 65 ans, notamment chez les femmes. Elle est aussi un signal d’alerte : des artères qui vont mal au niveau de l’œil peuvent annoncer d’autres événements cardio-vasculaires plus sévères.
Comment ça se manifeste ?
Le symptôme le plus évocateur est une perte de vision soudaine sur un seul œil. Elle peut être partielle ou totale, apparaître en quelques secondes, et s’accompagner de vision floue, d’une réduction du champ visuel ou d’images déformées. Ce qui déstabilise le plus, c’est l’absence de douleur : l’AVC de l’œil est indolore et ne s’accompagne pas de rougeur.
Un signe clinique peut aussi mettre la puce à l’oreille : la pupille qui se dilate anormalement et ne réagit plus à la lumière. Les médecins parlent d’abolition du réflexe photomoteur direct. Ce phénomène survient en général dans les minutes qui suivent l’occlusion.
Attention : d’autres problèmes peuvent mimer ce tableau, comme la migraine ophtalmique, un glaucome aigu ou un décollement de la rétine. Seul un examen du fond d’œil pratiqué en urgence par un ophtalmologue permet de trancher.

Qui est le plus à risque ?
Les facteurs de risque sont les mêmes que pour un AVC cérébral. L’hypertension artérielle, le diabète, un cholestérol trop élevé et le tabagisme augmentent nettement la probabilité d’occlusion rétinienne. S’y ajoutent des troubles du rythme cardiaque et certains troubles de la coagulation, notamment chez des patients plus jeunes.
Il faut aussi surveiller l’état des artères carotides internes ou de l’artère ophtalmique, puisqu’une anomalie sur ces troncs artériels peut favoriser la formation ou l’acheminement d’un thrombus vers la rétine. Après un épisode, un bilan cardio-vasculaire complet s’impose pour identifier la cause et prévenir la récidive.
À lire aussi
En quoi est-ce une urgence ?
Parce que le temps fait la différence entre une vision récupérée et une lésion irréversible. Privées d’oxygène, les cellules de la rétine se détériorent vite. Plus le traitement est entrepris tôt, meilleures sont les chances de préserver la vision. À l’inverse, au-delà d’un certain délai, les dommages deviennent définitifs.
Cette notion de fenêtre temporelle est au cœur de la prise en charge des AVC oculaires comme des AVC cérébraux : chaque minute compte. D’où l’importance de reconnaître les signes pour ne pas perdre de temps avant d’arriver aux urgences, idéalement dans un service ophtalmologique.

Le diagnostic : ce que va faire le médecin
Le premier réflexe, c’est l’examen du fond d’œil. L’ophtalmologue visualise la rétine et ses vaisseaux, ce qui lui permet de confirmer l’occlusion ou de repérer une hémorragie. Cet examen oriente le diagnostic et la suite de la prise en charge.
Selon les cas, le médecin pourra compléter avec des examens ciblés du système cardio-vasculaire pour rechercher la source du caillot ou d’éventuelles plaques sur les carotides. L’objectif est double : traiter l’épisode aigu et réduire le risque de nouvel événement, oculaire ou cérébral.
Les traitements disponibles
Le traitement dépend de la cause. Lorsque l’on identifie un caillot responsable d’une occlusion, il s’agit de l’éliminer pour restaurer la circulation. S’il y a rupture de vaisseau, la cautérisation peut être envisagée afin de stopper le saignement et limiter l’œdème.
Là encore, l’efficacité repose sur la précocité. Plus on intervient tôt, plus la fonction visuelle a des chances d’être sauvée. En revanche, lorsque la prise en charge est tardive, les séquelles risquent d’être importantes.

Et après ? Rééducation et adaptation
Quand la vision ne revient pas complètement, une rééducation visuelle ou fonctionnelle peut être proposée. Des séances d’ergothérapie aident à s’adapter à une vision altérée, à retrouver des repères au quotidien, à sécuriser les déplacements ou à optimiser la lecture.
Ce travail s’accompagne d’un suivi attentif des facteurs de risque : contrôle de l’hypertension, gestion du diabète, rééquilibrage du cholestérol, arrêt du tabac. Il ne s’agit pas seulement d’éviter un nouvel AVC de l’œil, mais aussi de réduire le risque cardiovasculaire global.
Un avertissement pour l’avenir
Un AVC oculaire n’arrive pas au hasard. Il témoigne d’un terrain vasculaire fragilisé et doit être considéré comme une alerte. Les données montrent qu’environ 1 % des personnes ayant subi ce type d’AVC développent ensuite un AVC cérébral dans les jours ou les mois qui suivent. Une surveillance cardio-vasculaire renforcée est donc indispensable.
À lire aussi
Ce message est d’autant plus important que l’indolence de la baisse visuelle peut piéger. Pas de douleur, pas de rougeur, pas d’irritation qui pousserait à consulter : l’absence de souffrance trompe, et fait parfois perdre un temps précieux.
Les faux amis : quand les symptômes se ressemblent
Une migraine ophtalmique peut donner des troubles visuels impressionnants, mais transitoires, souvent accompagnés de symptômes typiques de la migraine. Un glaucome aigu s’installe avec une douleur oculaire intense, des nausées possibles, et une rougeur de l’œil. Un décollement de la rétine peut provoquer l’apparition de mouches volantes, d’éclairs ou d’un rideau noir.
Ces tableaux se recoupent parfois à l’œil du non-spécialiste. D’où la règle d’or : ne jamais autodiagnostiquer. Tant qu’un ophtalmologue n’a pas regardé le fond d’œil, il est impossible de confirmer ou d’écarter un AVC de l’œil.

Le bon timing, les bons réflexes
Face à une baisse de vision brutale d’un seul œil, il faut se rendre immédiatement aux urgences, si possible dans un service ophtalmologique. Une consultation rapide permet de poser le diagnostic et de lancer les traitements adaptés. Ensuite, un bilan étiologique complet aide à comprendre la cause et à protéger l’avenir.
Ce parcours peut aussi inclure des mesures d’adaptation si la vision reste altérée, pour continuer à lire, travailler, se déplacer, et maintenir une bonne qualité de vie. L’important est de ne pas rester seul face à la gêne : des solutions existent.

À retenir, vraiment
L’information essentielle à garder en tête se résume ainsi : une perte de vision soudaine, indolore, d’un seul œil doit être considérée comme un AVC de l’œil jusqu’à preuve du contraire. Dans ce cas, consulte d’urgence, idéalement en ophtalmologie, car chaque minute compte. Plus le traitement est précoce, plus tu as de chances de sauver ta vision ; passé un certain délai, les lésions de la rétine deviennent irréversibles.