Vous vous réveillez toujours vers 2–3 heures du matin ? Ce que les médecins expliquent sur le rôle du foie
Se réveiller en pleine nuit, surtout à heure fixe, peut inquiéter. Sur les réseaux, une idée revient souvent : ces réveils autour de 2–3 heures seraient le signe d’un foie « en souffrance ».

La réalité est plus nuancée, mais la science confirme un point clé : le foie participe activement à la stabilité énergétique nocturne, et certaines maladies hépatiques sont associées à un sommeil plus fragmenté.

Pourquoi le corps se réveille-t-il au milieu de la nuit ?
Les réveils nocturnes sont fréquents, et même attendus. Le sommeil se déroule en cycles d’environ une heure et demie, avec des phases de sommeil léger et de sommeil paradoxal de plus en plus longues en fin de nuit. À la transition entre deux cycles, de micro-réveils peuvent survenir sans qu’on s’en souvienne le matin. D’après des ressources de référence en médecine du sommeil, cette architecture « en escaliers » explique pourquoi beaucoup de personnes ouvrent brièvement les yeux la nuit, surtout au second tiers de la nuit.
Ce qui devient plus préoccupant, en revanche, c’est la répétition de réveils longs, avec difficulté à se rendormir, sueurs, palpitations, ou une sensation de sursaut. Dans ces cas, on cherche plutôt une cause parmi les grands classiques : stress et anxiété, alcool, reflux, température de la chambre, douleurs, envie d’uriner, médicaments, syndrome des jambes sans repos, ou apnées du sommeil. Et parfois, un trouble métabolique.

Le foie, « chef d’orchestre » discret de l’énergie nocturne
Quand on dort, on ne mange pas. Pourtant, le cerveau, les globules rouges et de nombreux tissus continuent de consommer du glucose. Pendant les premières heures de jeûne, l’organisme s’appuie surtout sur le glycogène, une réserve de sucre stockée majoritairement dans le foie. Ensuite, le foie peut aussi fabriquer du glucose (néoglucogenèse) à partir d’autres substrats pour maintenir une glycémie compatible avec le fonctionnement normal.
C’est là que naît l’hypothèse souvent reprise en ligne : si le foie gère mal l’approvisionnement nocturne en glucose, la glycémie pourrait devenir instable. Or, une baisse trop importante de glycémie déclenche une réponse hormonale dite « contre-régulatrice » : libération d’adrénaline (épinéphrine), de glucagon et d’autres hormones destinées à remonter le sucre sanguin. Et cette adrénaline, justement, peut provoquer agitation, sueurs, palpitations… et réveil.
Ce mécanisme est particulièrement bien décrit chez les personnes diabétiques ou sous traitements hypoglycémiants, où l’hypoglycémie nocturne est un phénomène connu. Dans la littérature médicale, on retrouve même des travaux expérimentaux montrant que l’hypoglycémie peut provoquer un éveil et s’accompagner d’une hausse d’hormones de stress.
Mais attention : passer de « l’hypoglycémie peut réveiller » à « se réveiller à 3 heures prouve que le foie est malade » est un raccourci. Le sommeil est influencé par trop de variables pour qu’une heure précise, à elle seule, serve de diagnostic.

Ce que dit une étude récente sur la stéatose du foie et les réveils nocturnes
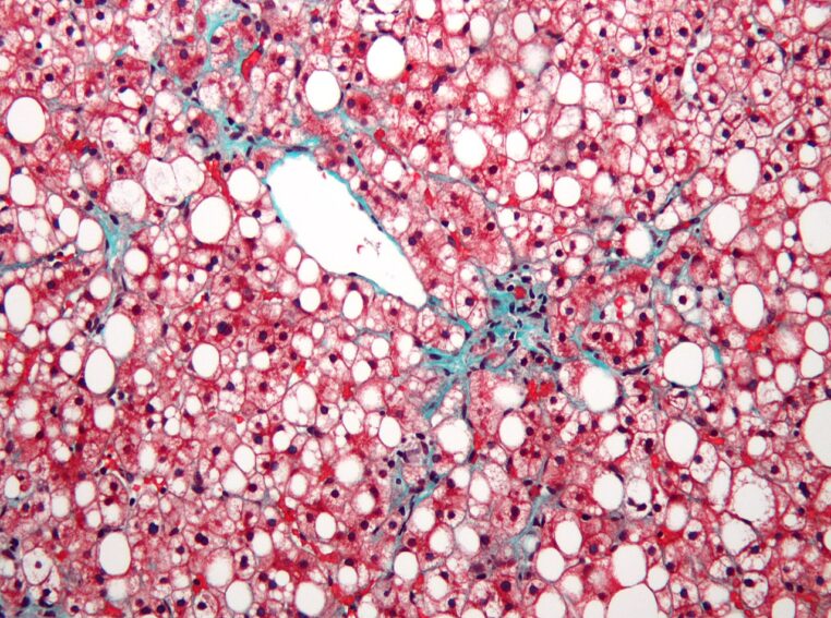
Là où la science devient intéressante, c’est qu’on observe effectivement un lien entre certaines maladies du foie et un sommeil plus fragmenté. Une étude publiée dans Frontiers (décembre 2024) a mesuré objectivement le sommeil de patients atteints de MASLD, le nouveau nom d’une grande partie de ce qu’on appelait auparavant la « stéatose hépatique non alcoolique » (NAFLD). Les chercheurs ont utilisé l’actigraphie (un capteur porté au poignet) pendant plusieurs semaines.
Résultat : les patients MASLD présentaient davantage de réveils par nuit et surtout plus de temps éveillés après l’endormissement. Le temps de « wakefulness after sleep onset » (WASO) atteignait une médiane d’environ 45 minutes, contre environ 21 minutes chez les témoins en bonne santé, avec une efficacité du sommeil plus basse. Autrement dit : leur sommeil n’était pas forcément plus court, mais plus haché.
Ce type de résultat ne prouve pas que « le foie réveille le corps à 3 heures pile ». En revanche, il confirme qu’une maladie métabolique du foie peut s’accompagner d’un sommeil moins réparateur, mesurable, et pas seulement ressenti.
MASLD, NAFLD, « foie gras » : de quoi parle-t-on exactement ?
Depuis 2023, plusieurs sociétés savantes internationales ont acté une évolution de la terminologie : NAFLD est progressivement remplacé par MASLD (metabolic dysfunction–associated steatotic liver disease), et NASH par MASH. L’objectif est double : mieux refléter le rôle central des facteurs métaboliques (surpoids, diabète de type 2, dyslipidémie, hypertension) et sortir d’une définition uniquement « par exclusion » de l’alcool. Les sociétés européennes (EASL) et américaines (AASLD) expliquent ce changement, issu d’un consensus international.
À lire aussi
En France, l’Assurance Maladie (ameli.fr) décrit la stéatose hépatique métabolique comme une accumulation de graisses dans le foie associée au syndrome métabolique, et rappelle qu’elle peut évoluer vers une inflammation puis une fibrose, voire une cirrhose chez une partie des patients. La SNFGE souligne aussi le rôle des facteurs de risque métaboliques dans la progression.
C’est précisément ce caractère « silencieux » qui rend ces maladies trompeuses : on peut avoir un foie déjà fragilisé avec peu ou pas de symptômes spécifiques pendant longtemps. Mais là encore, ce silence clinique ne se résume pas à un réveil nocturne.

Alors, pourquoi ces réveils vers 2–3 heures sont-ils si souvent cités ?
Parce que c’est un horaire où beaucoup de personnes se trouvent dans des phases de sommeil plus léger, et où certains phénomènes deviennent plus perceptibles : reflux gastrique en décubitus, montée d’anxiété, bouffées de chaleur, apnées positionnelles, ou simple sensibilité au bruit. De plus, chez certains profils, la régulation glycémique nocturne peut être plus instable, notamment après un dîner très sucré, une consommation d’alcool, ou en cas de diabète mal équilibré. Dans ces scénarios, l’adrénaline liée à une baisse de glucose peut provoquer un réveil « en alerte ».
Ce point est souvent mis en avant par des vulgarisateurs santé sur YouTube, dont Eric Berg. Problème : sur ses propres supports, il précise être chiropracteur (Doctor of Chiropractic) et non médecin. Ses conseils peuvent recouper des notions réelles (glycémie, hormones de stress, alimentation), mais il ne faut pas confondre une explication plausible avec une règle diagnostique.
La bonne grille de lecture est la suivante : un réveil à heure fixe n’est pas un signe spécifique du foie. En revanche, un sommeil fragmenté peut être associé à des troubles métaboliques, et certaines maladies du foie sont elles-mêmes liées à ces troubles métaboliques. Ce n’est pas une preuve, c’est une piste à remettre dans le tableau d’ensemble.

Les signaux qui doivent pousser à consulter sans attendre
Si les réveils nocturnes s’accompagnent d’une fatigue diurne importante, de ronflements et pauses respiratoires rapportées, de sueurs nocturnes fréquentes, de palpitations, de tremblements ou de fringales nocturnes, il faut en parler à un médecin. Si vous êtes diabétique, ces symptômes peuvent évoquer une hypoglycémie nocturne, qui se vérifie et se corrige.
Et si l’on s’inquiète du foie, le médecin ne se basera pas sur l’heure de réveil, mais sur des éléments concrets : facteurs de risque (surpoids abdominal, diabète, cholestérol, alcool), bilan sanguin (transaminases, gamma-GT, etc.), imagerie, et parfois scores non invasifs de fibrose. L’enjeu est d’autant plus important que la stéatose hépatique métabolique est fréquente et souvent découverte par hasard.
Ce que vous pouvez faire, dès maintenant, sans tomber dans l’autodiagnostic
La première étape est de considérer le sommeil comme un symptôme global. Stabiliser les horaires, limiter l’alcool, éviter les dîners très tardifs et très sucrés, réduire la caféine, traiter un reflux, évaluer un risque d’apnée du sommeil, gérer le stress : tout cela peut suffire à faire disparaître les réveils.
Sur le plan métabolique, les recommandations des autorités de santé convergent : perte de poids progressive en cas de surpoids, activité physique régulière, alimentation moins ultra-transformée, et prise en charge du diabète et des lipides. Ce sont aussi les leviers qui améliorent le risque de stéatose hépatique et, potentiellement, la qualité du sommeil.
Le foie, le gardien de l’équilibre énergétique nocturne
Se réveiller entre 2 et 3 heures du matin n’est pas, en soi, un diagnostic de maladie du foie. En revanche, la science confirme que le foie est un acteur majeur de l’équilibre énergétique nocturne, et qu’une maladie métabolique du foie comme la MASLD est associée à un sommeil plus fragmenté, mesurable.
Plutôt que de guetter une « heure magique », l’approche la plus fiable consiste à regarder le tableau complet : qualité du sommeil, symptômes associés, facteurs de risque métaboliques et dépistage médical. C’est là que se joue la prévention, bien plus que dans un réveil sur l’horloge.